Full Text
Introduction
Cancer of the ovary is the second most common gynaecological malignancy and is the 5th leading cause death in women. Ultrasonography including color Doppler is the choice of imaging in the initial evaluation of suspected adnexal mass. According to WHO classification 14 categories exist. However, only major masses and their imaging features are included here. Transvaginal sonography is better than trans abdominal. However, Computed Axial Tomography (CT) is better for diagnosis and staging of tumor. Local extent and deposits on the peritoneum, liver, mesentery and bowel are well demonstrated by CT. Prediction of resectability is determined by CT. In this article, the imaging features of some of the ovarian masses by CT are described pictorially.
Classification of ovarian tumours (WHO)
Human ovarian tumors are divided into three majorcategories, which are named according to their presumed histogenesis and directions of differentiation: common epithelial tumors; sex cord-stromal tumors; and germ cell tumors [1]. A minority of ovarian tumors are classified separately either because their histogenesis is uncertain, their cellular components are of several origins, or they are nonspecific tumors that also occur at other sites. A final category of lesions that merit consideration in a discussion of ovarian tumors are various nonneoplastic disorders that simulate neoplasms on gross and sometimes on microscopic examination. The World Health Organization Histological Classification of Ovarian Tumors is presented in Appendix 1 [2].
Predominantly solid ovarian neoplasms account for a minority of ovarian neoplasms. They comprise of a wide pathological spectrum which includes epithelial tumours, 28% of all solid ovarian tumours -brenner tumour (bilateral), germ cell tumours, 22%-ovarian teratoma: non cystic type, sex cord stromal tumours: ovarian fibroma, ovarian fibrothecoma, ovarianthecoma (usually large with delayed contrast uptake with ascites) and metastatic tumours, 20% Including krukenberg tumours.
Epithelial tumours
They may be benign or malignant. Benign epithelial tumours have fewer papillary projection than malignant. Large papillary projection and solid irregularity suggest malignancy. On CT benign epithelial tumours either mucinous or serous, cystadenomas appear as a thin walled cystic lesion with a soft tissue component, irregular wall or papillary projections (Figures 1 & 2).

Figure 1: 70y/F - Benign serous cystadenoma thin wall, no solid component.

Figure 2: 36y/F - Bilateral serous cystadenoma.
Malignant tumour has more complex appearance. It may be unilateral or bilateral solid cystic masses. Multiloculated appearance with thick irregular enhancing septations are common. Papillary excrescences are noted (Figure 3).

Figure 3: 60y/F - CT Pelvis - Serous cystadeno carcinoma ovary (arrow point’s thick septae).
Defining the extent of disease or staging
Imaging is done prior to laparotomy which is gold standard. Imaging is to plan surgery and to decide optimal de-bulking. In general CT is preferable to MR as it is readily available and quicker. Imaging features of CT and MR are similar and can detect pelvic and abdominal structures.
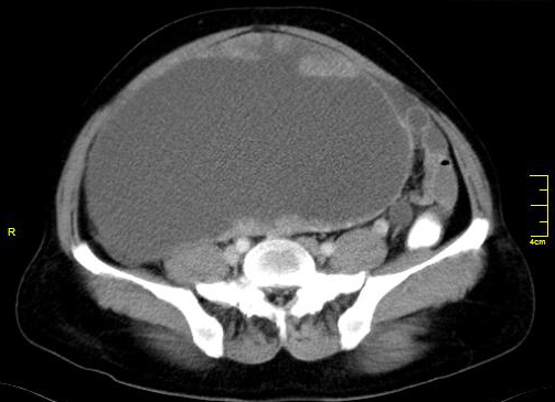
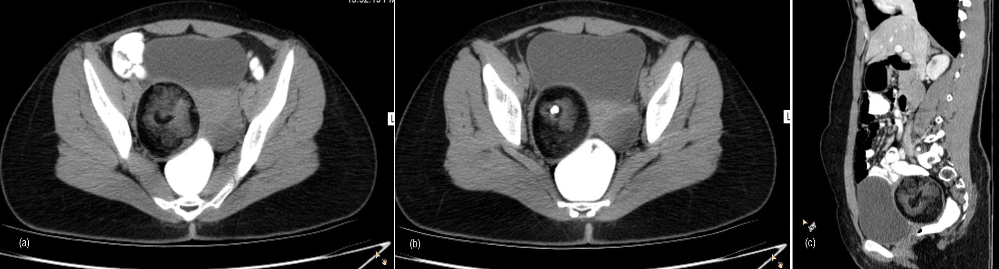
Staging criteria for CT and MRI have been adapted from International Federation of Gynecology and Obstetrics (FIGO) classification system of ovarian cancer. Stage 1: confined to one ovary stage 1a, or both 1b-capsule of tumour is intact and there is no evidence of tumour spread to ovarian surface; 1c tumour spread to ovarian surface or capsule ruptured (Figure 4) or malignant cells in ascites or peritoneal washings.

Figure 4: Carcinoma of the ovary – Stage 1.
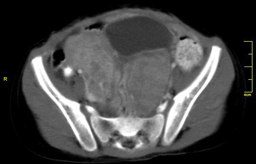
Stage 2: Tumour extends to pelvic soft tissues, or organs in pelvis. In stage 2a extension to uterus and/ or fallopian tube; 2b-extension to other pelvic organs such as bladder, rectum, peritoneum. Bowel or bladder involvement is suggested by loss of fat plane between the organ and mass, encasement or localised thickening. A distance of 3mm between mass and muscle of pelvic side wall or displacement or encasement of iliac vessel is highly suggestive of pelvic side wall invasion; Stage 2c-2a or 2b pluspelvic ascites (Figure 5).

Figure 5: 50y/F - Papillary serous cystadeno carcinoma of ovary. Large solid enhancing component, thick septae pelvic vessels, uterus indicated by arrow stage 2.
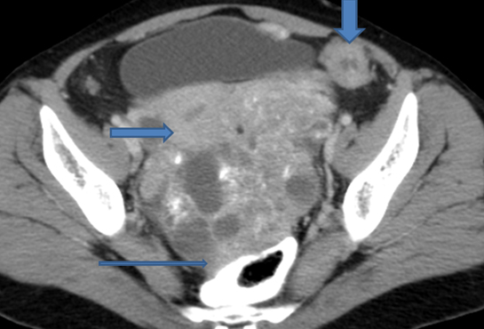
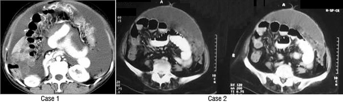
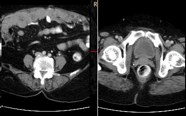
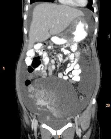
Stage 3: peritoneal implants outside pelvis or inguinal or retroperitoneal lymphadenopathy. Implants can be omentum, liver, parietal peritoneum. Peritoneal dissemination is characterised by peritoneal thickening, nodular lesion, stellate nodules located within mesentery or omentum. Stage 3a, b, c differ in size of lesion- 3a-tumour grossly limited to pelvis and gross ascites; 3b-peritoneal implant 2cms or less; 3c-implant size is more than 2cms . Retroperitoneal and inguinal adenopathy qualifies as stage 3c (Figures 6, 7 & 8).

Figure 6: 52y/F - Omental deposits (arrow) stage 3 disease.

Figure 7: 24y/F- Mucinous carcinoma of ovary, thick septations infiltrating uterus, rectum and pelvic side wall and peritoneal deposit (arrow).

Figure 8: Two different cases of carcinoma of ovary with omental and peritoneal thickening stage 3.
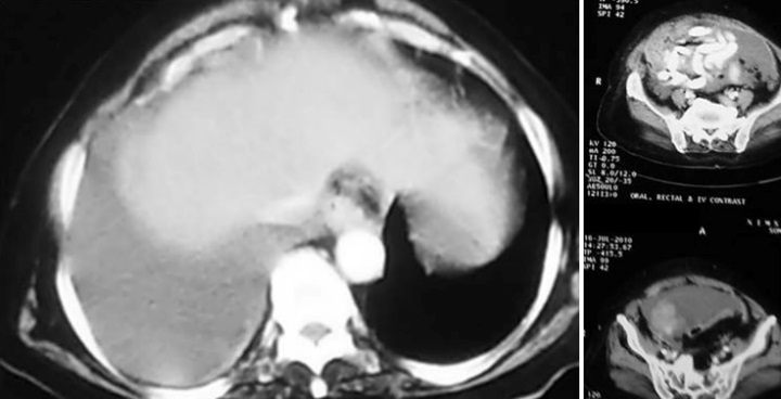
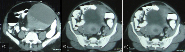
Stage 4: distant metastases, pleural effusion, pleural nodules or focal thickening suggest this stage. Accuracy for detecting peritoneal deposits is dependent on their location, size and presence of ascites. MRI and CT have similar sensitivity in detection of peritoneal deposits greater than 1cm. Peritoneal deposits appear has rounded, cake like, stellate or ill-defined masses. However deposits in mesentery/ implant on surface of bowel and calcified deposits are better seen in CT. Adjacent pelvic organ involvement may be difficult to diagnose accurately. In large ovarian tumour, it may be difficult to identify uterus which is partially or completely surrounded by tumour. Pelvic side wall invasion is suspected when tumour lies within 3mm of pelvic side wall or when iliac vessel are surrounded or displaced by tumour. Focal obliteration of fat plane or tumour encasement of bladder or recto sigmoid is highly suspicious of involvement of the structures. Staging accuracy is 80-90% (Figures 9 & 10).

Figure 9: Carcinoma of ovary stage 4 disease pleural effusion.

Figure 10: Omental caking with carcinoma of the ovary.
Germ cell tumour
Ovarian cystic teratoma contains mature epithelial elements such as sebum, hair, epithelium, calcium, desquamated skin, and other elements which give complex appearance. Although they do not contain fat, they contain sebum which is lipid material with characteristic signal similar to fat. This differentiates it from other masses (Figures 11, 12, 13ab & 14).

Figure 11: 38y/F - Dermoid showing fat fluid level.

Figure 12: 20y/F – Dermoid showing teeth.

Figure 13a,b: Germ cell tumour of ovary.

Figure 14a,b,c: Mature cystic teratoma of the right ovary.
Malignancy associated with mature cystic teratoma is rare and occurs in 1-2%of cases. Malignant transformation is seen in tumour larger than 10cms and appears as fat containing component. Tumour with an enhancing irregularly marginated solid component. Solid component tends to be relatively large and show extensivetrans mural invasion and extension to adjacent structure. Enhancement of Rokitansky protuberance should raise possibility of malignant transformation. Rarely it can appear as large cystic lesion containing fat fluid level. Scanty or punctate areas of fat, coarse calcification in a child or young adolescent are suggestive of immature teratoma. Imaging reveals similar features as mixed germ cell tumour (Figure 15ab). Elevated serum Alfa feto protein, HCG; younger age group can help in differentiating the two.

Figure 15a,b: 20y/F - Immature teratoma ovary.
Brener tumour
These rare epithelial tumours occur in 5th decade. They are incidental finding in most of cases and are smaller than 2cms. On imaging, they are unilateral solid mass showing amorphous calcification.
Dysgerminoma
These are malignant solid masses which has cystic solid areas, necrosis and haemorrhage.
Ovarian fibroma and fibrothecoma
Ovarian fibroma and fibrothecoma are benign tumours of stromal origin and constitute 3-4%of all ovarian malignancy. Typically they are unilateral in 90% and occur in peri and postmenopausal women. They are well circumscribed solid tumours. About 1% of these cases may present with Meig’s syndrome. CA125 may be raised in them.
Benign sex cord tumour-sclerosing stromal tumour
Occur younger age and on dynamic contrast scan show enhancement similar to hepatic hemangioma and centripetal enhancement.
Malignant sex cord tumour and granulosa cell tumour are two types juvenile and adult type. Juvenile present before puberty and present with pseudo puberty. Adult type constitute 90% presenting with abnormal uterine bleeding. Granulosa cell tumour has tendency for hemoperitoneum. Size is variable. Morphology is variable may be cystic to complexly solid. They are associated with endometrial abnormality (Figure 16abc). Sertoli-Leydigcell tumour occur in younger age and tends to be unilateral. Size is variable may appear as solid/ solid with peripheral cyst/ cystic lesion with solid mural component or completely cystic. Well defined enhancing solid tumour with variable intra tumoural cystic component (Figure 17).

Figure 16a,b,c: Granulosa cell tumour.

Figure 17: 7y/F - Sertoli cell tumour bilateral.
Ovarian metastases
Metastases constitute about 5-15% of ovarian masses. Stomach, colon, breast, pancreas and lung are the most common primaries. Krukenberg tumours are ovarian metastases with mucus filled signet ring cells. They display bilateral, oval/ lobulated solid or predominantly solid with central necrosis. On CT/MR they show strong contrast enhancement. Non Krukenberg metastases appear similar to primary ovarian malignancy. They are usually bilateral and may be solid and cystic or complex lesion; may be multilocular and associated with ascites. Omental cake represents replacement of normal fat of omentum by a soft tissue density and the causes include peritoneal metastasis from carcinoma of colon, ovary, pancreas, stomach and breast and also from lymphoma, mesothelioma and tuberculosis of the peritoneum (Figures 18 & 19).

Figure 18: Krukenberg tumour from carcinoma of the breast.

Figures 19: 23y/F – Mucinous adenocarcinoma of stomach with deposits on ovaries - Krukenberg tumour.
Conclusion
Ovarian masses include both benign and malignant tumours. Malignant tumours are more common and CT plays a major role in early diagnosis, staging and in management. The imaging features are well demonstrated through the illustrations.
Conflicts of interest
Author declares no conflicts of interest.
|
Appendix 1: Histological classification of ovarian tumors
I. Common epithelial tumors
A. Serous Tumors
1. Benign
a. Cystadenoma and papillary cystadenoma
b. Surface papilloma
c. Adenofibroma and cystadenofibroma
2. Of borderline malignancy (carcinomas of low malignant potential)
a. Cystadenoma and papillary cystadenoma
b. Surface papilloma
c. Adenofibroma and cystadenofibroma
3. Malignant
a. Adenocarcinoma, papillary adenocarcinoma, and papillary cystadenocarcinoma
b. Surface papillary carcinoma
c. Malignant adenofibroma and cystadenofibroma
B. Mucinous Tumors
1. Benign
a. Cystadenoma
b. Adenofibroma and cystadenofibroma
2. Of borderline malignancy (carcinomas of low malignant potential)
a. Cystadenoma
b. Adenofibroma and cystadenofibroma
3. Malignant
a. Adenocarcinoma and cystadenocarcinoma
b. Malignant adenofibroma and cystadenofibroma
C. Endometrioid Tumors
1. Benign
a. Adenoma and cystadenoma
b. Adenofibroma and cystadenofibroma
2. Of borderline malignancy (carcinomas of low malignant potential)
a. Adenoma and cystadenoma
b. Adenofibroma and cystadenofibroma
3. Malignant
a. Carcinoma
i. Adenocarcioma
ii. Adenoacanthoma
iii. Malignant adenofibroma and cystadenofibroma
b. Endometrioid stromal sarcomas
c. Mesodermal (mullerian) mixed tumors, homologous and heterologous
D. Clear Cell (Mesonephroid) Tumors
1. Benign
2. Of borderline malignancy (carcinomas of low malignant potential)
3. Malignant: carcinoma and adenocarcinoma
E. Brenner Tumors
1. Benign
2. Of borderline malignancy (proliferating)
3. Malignant
F. Mixed Epithelial Tumors
1. Benign
2. Of borderline malignancy
3. Malignant
G. Undifferentiated Carcinoma
H. Unclassified Epithelial Tumors
II. Sex cord stromal tumors
A. Granulosa-Stromal Cell Tumors
1. Granulosa cell tumor
2. Tumors in the thecoma-fibroma group
a. Thecoma
b. Fibroma
c. Unclassified
B. Androblastomas, Sertoli-Leydig Cell Tumors
1. Well-differentiated
a. Tubular androblastoma, Sertoli cell tumor (tubular adenoma of Pick)
b. Tubular androblastoma with lipid storage, Sertoli cell tumor with lipid storage (folliculome lipidique of Lecene)
c. Sertoli-Leydig cell tumor (tubular adenoma with Leydig cells)
d. Leydig cell tumor, hilus cell tumor
2. Of intermediate differentiation
3. Poorly differentiated (sarcomatoid)
4. With heterologous elements
G. Gynandroblastoma
D. Unclassified
III. Lipid (lipoid) cell tumors
IV. Germ cell tumors
A. Dysgerminoma
B. Endodermal Sinus Tumor
C. Embryonal Carcinoma
D. Polyembryoma
E. Choriocarcinoma
F. Teratomas
1. Immature
2. Mature
a. Solid
b. Cystic
i. Dermoid cyst (mature cystic teratoma)
ii. Dernoid cyst with malignant transformation
3. Monodermal and highly specialized
a. Struma ovarii
b. Carcinoid
c. Struma ovarii and carcinoid
d. Others
G. Mixed Forms
V. Gonadoblastoma
A. Pure
B. Mixed with Dysgerminoma or Other Form of Germ
Cell Tumor
VI. Soft tissue tumors not specific to ovary
VII. Unclassified tumors
VIII. Secondary (metastatic) tumors
IX. Tumorlike conditions
A. Pregnancy Luteoma
B. Hyperplasia of Ovarian Stroma and Hyperthecosis
C. Massive Edema
D. Solitary Follicle Cyst and Corpus Luteum Cyst
E. Multiple Follicle Cysts (Polycystic Ovaries)
F. Multiple Luteinized Follicle Cysts and/or Corpora Lutea
G. Endometriosis
H. Surface-Epithelial Inclusion Cysts (Germinal Inclusion Cysts)
I. Simple Cysts
J. Inflammatory Lesions
K. Parovarian Cysts
|
References
1. Scully, R. E. Tumors of the ovary and maldeveloped gonads. Atlas of Tumor Pathology, Second Series, Fascicle 16, Armed Forces Institute of Pathology, Washington, DC, 1979.
2. Serov, S. F., Scully, R. E., and Sobin, L. H. Histological typing of ovarian tumours. International Histological Classification of Tumours, No. 9, World Health Organization, Geneva, 1973.
3. Brown DL, Zou KH, Tempany CM, Frates MC, Silverman SG et al. Primary versus secondary ovarian malignancy: imaging findings of adnexal masses in the Radiology Diagnostic Oncology Group Study. Radiology. 2001; 219(1):213-218.
4. Coaldey FV. Staging ovarian cancer; role of imaging. Radiol Clin North America 2002; 40:609-636.
5. Krigman H, Bently SJ, Robboy SJ. Pathology of epithelial ovarian tumours. Clin Obstet Gynaecol 1994; 37:475-491.
6. Nelson BE, Rosenfield AT, Schwartz PE. Preoperative abdominopelvic computed tomographic prediction of optimal cytoreduction in epithelial ovarian carcinoma. J Clin Oncol. 1993; 11(1):166-172.
7. Sieldman J, Russell P, Kurman R. Surface epithelial tum ours of the ovary. In: Kurman RJ, ed, Blaustein’s pathology of the female genital tract. New York, NY, Springer-Verlag. 2002.
8. Tanaka YO, Kurosaki Y, Nishida M, Michishita N, Kuramoto K et al. Ovarian dysgerminoma: MR and CT appearance. J Comput Assist Tomogr. 1994; 18(3):443-448.